Discreet
Invisalign aligners are crafted from clear, BPA-free plastic that molds closely to your teeth. Their low-profile, nearly invisible design helps you feel confident and less aware of your appliance throughout treatment.

Invisalign’s clear trays allow for a more discreet approach to orthodontic treatment, and their continuous, gentle pressure often leads to faster results. If you are considering orthodontics but prefer a metal-free option, call our office to schedule a consultation to discuss Invisalign in Greenwood Village.
Invisalign uses clear plastic trays that apply gentle pressure to your teeth. Customized based on digital impressions, they are crafted to guide your smile through the process, each with a different shape. When these trays are worn 20-22 hours each day for 1-2 weeks at a time, you will begin to notice a gradual change in the way your teeth and bite align, creating a more visually pleasing aesthetic and healthier smile.

When meeting with A member of our team for a consultation, we will closely examine your smile to determine if Invisalign is the right option for you. We will be looking at:

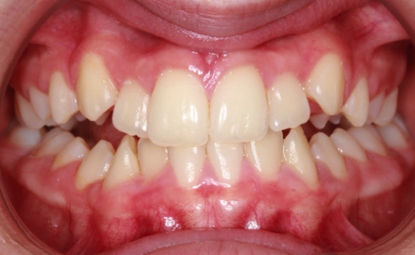
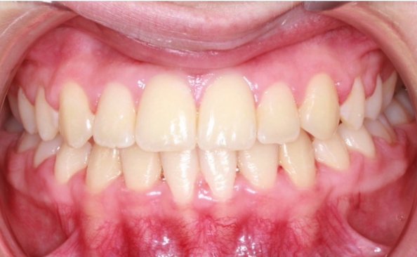
Invisalign is a versatile orthodontic solution that can treat an array of orthodontic problems. It is suitable for most cases of mild to moderate dental misalignment. When you visit us for a consultation, we will evaluate the positioning of your teeth and determine if clear aligners are a good fit for your unique situation. What are some specific conditions that Invisalign can be used to address? Here are a few examples:
When teeth sit too close together, they can become crowded and even overlap one another. This crowding makes it difficult to keep your smile clean and free from cavities and disease. Invisalign can shift the teeth in a way that creates space. As a result, you may enjoy improved function, aesthetics, and overall oral health.
When too much space exists between teeth, bacteria and food particles can become trapped, which can contribute to gum irritation, oral infections, and tooth decay. We can often use Invisalign to close the gap(s) and lower the risk of oral health issues down the road.
Your top teeth should rest slightly in front of your bottom teeth, but if their positioning is too far forward, your overbite may need to be addressed. Otherwise, you might suffer from jaw pain, speech difficulties, uneven wear and tear on your enamel, and other challenges. Invisalign aligners, along with special accessories, can correct many cases of overbite.
You have an underbite if your bottom teeth rest in front of your top teeth. Not only can this adversely affect your facial profile, but you may also be at an increased risk of issues like sleep apnea, chronic mouth breathing, and difficulties with chewing and speaking. Invisalign is capable of correcting some cases of underbite.
A crossbite occurs when only some of the bottom teeth rest in front of the top teeth. Without timely treatment, a crossbite can increase your risk of tooth decay, gum disease, jaw pain, speech abnormalities, teeth grinding and clenching, and other problems. Thankfully, Invisalign is able to shift the teeth in a way that can address many cases of crossbite.
An open bite is what happens if there is a vertical gap between your front upper and lower teeth, even when your back teeth are touching each other. Speech problems, aesthetic issues, and uneven dental wear and tear can all be caused by a crossbite. The good news is that the use of Invisalign can often result in complete correction of an open bite.

Have you ever wondered why Invisalign clear aligner treatment is so popular? Well, it has many benefits! It is discreet and effective, and it can fit into busy lifestyles. During your consultation, we can discuss how it may impact your daily routine and what to expect throughout the treatment period. In the meantime, you can learn about its key benefits by reading the material below.
Invisalign aligners are made of a patented form of BPA-free plastic. They are custom designed to fit over your teeth. They are barely noticeable once they are in place, allowing you to feel less self-conscious while you straighten your smile. Whether you are taking selfies or interacting with people in the workplace, you will not have to worry about unsightly brackets and wires negatively affecting the impression you convey.
Often, metal braces can cause quite a bit of discomfort and irritation to your gums and other soft oral tissues. The smooth plastic of Invisalign aligners is much gentler on your lips and gums throughout treatment. Plus, many patients find that the overall treatment experience is easier and more comfortable with Invisalign.
Invisalign aligners can be easily removed while brushing and flossing. There is no need to use any special oral hygiene techniques or tools. This system is much simpler than traditional braces and allows you to easily maintain a fresh and healthy smile throughout your treatment period with Invisalign.
If you have ever known someone with traditional braces, you might remember that they complained about how their treatment affected their ability to eat certain foods. Thankfully, Invisalign is different. Because you remove the aligners when you eat, you can feel free to eat a wide variety of snacks and meals, including foods that are off-limits with traditional braces.
Our team may schedule you for an Invisalign check-in appointment once every 6 – 8 weeks or so. These visits are often very brief, typically lasting just 15 – 30 minutes. We will simply check on your progress, address any questions or concerns that may have arisen since your last appointment, and provide you with additional aligners so you can continue your treatment without interruption.
Invisalign is designed for modern lifestyles, which tend to be busy and fast-paced. Although you will have to make some minor adjustments to your routine during your treatment, you may find that overall, living with Invisalign is easy! Talk to our Greenwood Village dental team if you have questions about what to expect as you are straightening your teeth.
Any sort of orthodontic treatment is bound to have effects on your routine. The good news is that living with Invisalign aligners from our Greenwood Village practice is surprisingly easy! Our team will coach you on the steps you need to take to enjoy successful treatment from start to finish. In the meantime, here are some guidelines that will give you an idea of what it is like to live with Invisalign on a daily basis:
Invisalign trays only work when you are actually wearing them, so it is important to keep them on your teeth as much as possible. Ideally, your total daily wear time should amount to 20 – 22 hours (the closer to 22 hours, the better). As a general rule of thumb, you should only remove them when you consume anything other than water and when you care for your oral hygiene.
A thorough cleaning routine prevents bacterial buildup and helps your smile stay fresh and healthy throughout treatment. You should:
Invisalign does not come with any strict dietary requirements. Simply remove your aligners, enjoy whatever meal or snack you are craving, take care of your oral hygiene, and then place Invisalign back in your mouth.
You should never eat or drink anything other than plain water while your aligners are in your mouth. Doing so could significantly damage your Invisalign trays, thereby slowing down your treatment progress and potentially leading to increased fees.
Even if you have good habits, there is still a chance that you could accidentally damage or lose a tray. If that happens, give us a call and let us know what happened. We might advise you to return to wearing a previous aligner so we can order a replacement for the one that got lost or damaged. Or, we might tell you to go ahead and move onto your next aligner a bit earlier than planned.
You should visit us periodically throughout your Invisalign treatment so we can check on your progress and address any issues that come up. These appointments are usually very brief, often lasting just 15 minutes or so. In some cases, we determine that a treatment plan requires some slight revisions; implementing these adjustments can take a bit longer, but they are worth it in order to optimize the outcome of your treatment.

Making sure your aligners remain clean and intact is key to successful treatment. To achieve this, you’ll need to:

There is no one set cost of Invisalign. The price can vary from patient to patient and depends on a range of factors. During your consultation, our team can share some specific numbers with you and help you understand your payment options. With the assistance of available provisions, you might be surprised by how easy it is to afford Invisalign.
The cost of your Invisalign treatment may depend on:
Before you start treatment, our team can share a personalized cost estimate with you.
In recent years, some patients have turned to mail-order clear aligner systems to straighten their teeth. The temptation is understandable; such products often cost around $2,000, which is significantly less than the average cost of Invisalign.
However, it is important that you think about more than just the monetary price of any service. It is also critical to consider what you are getting for your money. With Invisalign, you get:
Mail-order aligners, on the other hand, have a reputation for providing unpredictable results. Some patients have even worsened their dental misalignment by using them. It is best to invest in top-quality care from a local professional right from the beginning of your orthodontic care journey.
Some premium dental insurance plans cover orthodontia, including Invisalign. You will need to check your specific policy to find out how it might apply. If you have coverage, your plan might pay for up to 50% of the cost of Invisalign, up to the amount of your plan’s lifetime orthodontic maximum. Our team is in-network with most dental insurance providers, and we can assist you through the process of using your benefits.
Outside of insurance, other provisions that may make Invisalign easier to afford include:
Would you like to learn more about Invisalign and its cost? Contact Landmark Dental Studio in Greenwood Village today.